Máte problémy se zuby?
Trápí vás nejen zažloutlé zuby, ale především je problém, že máte zubní kazy nebo třeba paradentózu? Nemoci zubů je potřeba řešit ideálně hned, ale na mnoho z nich nelze bez prohlídky u lékaře přijít. Takový zubní kaz dlouhé měsíce vůbec nebolí, takže člověk ani neví, že jej má. Zubní kazy se ukážou teprve na rentgenu, který je potřeba podstoupit na pravidelné preventivní prohlídce. Bohužel mnozí lidé zubního lékaře nemají, tudíž nemají kam na prevenci docházet.

Pokud chcete mít svoje zuby v pořádku, musíte si najít lékaře, který vás do péče vezme. To nebude jednoduché, právě proto, že většina ordinací nové pacienty nepřijímá. Přesto se i dnes najdou ordinace, kde vás ošetří. Při pravidelných prohlídkách se najdou kazy i další zubní onemocnění, které je potřeba vyřešit. Nedávno vědci zjistili, že neléčený zubní kaz může způsobovat celou řadu dalších problémů.
Hledáte, která zubní ordinace v Praze má volnou kapacitu? Chcete navštěvovat moderní ordinaci, kde lékař ošetří dospělé i děti? Specializované dětské zubní lékařství už neexistuje a zubné lékaři tak musí ošetřovat i děti, nicméně ani pro děti nejsou často lékaři dostupní. U nás ošetříme nejen vás, ale i vaše děti, a čeká na vás náš empatický přístup.

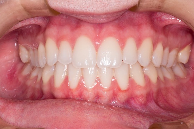
Když jsou zuby v pořádku, můžete se přestat stydět za svůj úsměv. U nás řešíme nejen kazy, ale zabýváme se komplexním zubním lékařstvím. Pokud potřebujete mít zuby v pořádku, jste u nás správně. Nechte si zuby nejen opravit, ale navštivte i dvakrát do roka dentální hygienu, kde vám profesionálně zuby vyčistí dentální hygienistka, která bezbolestně zbaví zuby zubního plaku, ze kterého vznikají kazy, zubního kamene i pigmentových skvrn.
Jakmile jsou zuby bez kazů a jsou vyčištěné od nečistot, můžete si je nechat i vybělit. Je lepší si bělit zuby v ordinaci než doma.